13 de març de 2026 - Notes de premsa
La manca d'una proteïna, la quinasa Ikkα, facilita que les cèl·lules tumorals s'agrupin i sobrevisquin durant la seva disseminació.
Ho revela un estudi publicat a Nature Communications. Les seves conclusions obren la porta a nous marcadors pronòstics i possibles estratègies terapèutiques.
Atacar la capacitat d'unir-se de les cèl·lules tumorals afecta la seva capacitat per migrar i generar metàstasi. El treball s'ha fet amb un model preclínic en ratolí.
Un equip liderat per investigadors de l'Hospital del Mar Research Institute (HMRIB) i el Servei de Patologia de l'Hospital del Mar ha identificat un mecanisme que pot explicar com el càncer de còlon desenvolupa metàstasi al fetge. Els resultats, que publica la revista Nature Communications, revelen el paper inesperat de la proteïna IKKα en el procés que permet a les cèl·lules tumorals agrupar-se, migrar i reproduir el tumor a la nova ubicació.

Membres de l’equip responsable de l’estudi
L'estudi mostra que l'èxit de la migració del tumor del còlon al fetge es basa en el fet que les cèl·lules tumorals s'agrupin per sobreviure al procés. En cas de fer-ho de forma individual, les cèl·lules que arriben al torrent sanguini són eliminades pel sistema immunitari. I aquí destaca el paper de IKKα. En la seva absència, les cèl·lules tumorals es poden agrupar i sobreviure a la migració. "Quan no hi ha IKKα aquestes unions són més potents i les cèl·lules formen grups molt més eficients a l'hora de fer metàstasi", explica el Dr. Lluís Espinosa, autor principal de l'estudi i coordinador del Grup de Recerca en Mecanismes Moleculars del Càncer i de les Cèl·lules Mare de l'HMRIB.
L'estudi s'ha dut a terme fent servir organoides derivats de cèl·lules de pacients amb càncer de còlon, als quals es va eliminar la quinasa IKKα. Després, en models preclínics en ratolí, els investigadors van demostrar que "hi ha una subpoblació específica de cèl·lules tumorals, caracteritzada per unions cel·lulars especialment robustes, que és la responsable de generar metàstasis al fetge", apunta el Dr. Espinosa. Aquesta població cel·lular estava clarament enriquida en absència d'IKKα, fet que s'explica perquè els tumors deficients en aquesta proteïna presentaven més capacitat metastàtica. De manera paradoxal, tot i que aquesta proteïna havia estat descrita prèviament com a promotora tumoral en altres contextos, el nou treball revela que també pot actuar com a supressor de la metàstasi en el càncer de còlon.

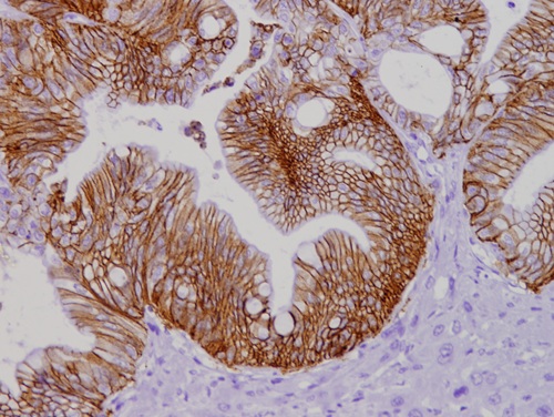
Metàstasi tenyida amb l'anticòs contra CDH17
Els investigadors també han comprovat com, inhibint determinades proteïnes implicades en aquestes unions cel·lulars, com és el cas de la claudina 2, es redueix significativament la seva capacitat per produir metàstasi.
El treball continua ara amb mostres de pacients, on es miraran de replicar els resultats obtinguts. L'equip responsable de l'estudi confia que les seves conclusions serveixin per disposar en un futur pròxim de marcadors pronòstics per als pacients amb càncer de còlon, i, fins i tot, en una via per tractar la metàstasi. "Confiem que els nostres resultats puguin contribuir en el futur a identificar els pacients amb més risc de desenvolupar metàstasi i, eventualment, obrir la porta a noves estratègies terapèutiques dirigides a prevenir-les", explica Lluís Espinosa.
El treball ha comptat amb la participació de l'Institut d'Investigació Biomèdica de Bellvitge (IDIBELL), del University College de Dublín, a Irlanda, i d'investigadors de l'àrea del càncer del CIBER (CIBERONC).
Alvarez-Villanueva D, Maqueda M, Harti D, Canton E, Andrades E, Bertran J, Martínez-Iniesta M, Solé L, García-Hernández V, Montoto Á, Lobo-Jarne T, Alonso-Marañón J, Herrero-Molinero P, Larrubia-Loring M, Tramuns A, Wynne K, Bera I, Matallanas D, Villanueva A, Bigas A, Iglesias M, Espinosa L. Tight junction-high and CDH17-positive cell population is the source of colorectal cancer liver metastases. Nat Commun. 2026 Jan 3;17(1):1425. doi: 10.1038/s41467-025-68169-3. PMID: 41484106; PMCID: PMC12881549.
Parc Salut Mar
Passeig Marítim 25-29 Barcelona 08003
Vegeu la situació a Google Maps
Tel: 93 248 30 00 · Fax: 93 248 32 54
Sol·licitud d'informació
© 2006 - 2026 Hospital del Mar · Avís Legal i Privacitat de dades | Política de Cookies | Accessibilitat