27 de febrer de 2026 - Notes de premsa
Presentar nivells elevats d'aquesta proteïna, que forma part del colesterol en sang, s'associa amb una probabilitat un 40% més gran de patir arterioesclerosi coronària multivas, fet que es relaciona directament amb la possibilitat de patir un infart o un altre accident cardíac.
Així ho estableix un estudi liderat per investigadors de l'Hospital del Mar Research Institute que publica la revista American Journal of Preventive Cardiology.
Els autors del treball defensen que cal mesurar els nivells d'aquesta lipoproteïna en tots els pacients, no només en població de risc de malaltia cardiovascular. Es pot fer amb una simple anàlisi de sang.
Tenir nivells elevats de lipoproteïna(a), una part del colesterol que tenim a la sang, es vincula a un risc més elevat de patir un infart o una altra patologia cardíaca. Per aquest motiu, un recent estudi de l'Hospital del Mar Research Institute proposa mesurar la seva presència en tots els pacients, no només en aquells que ja reben tractament després d'haver patit algun tipus d'esdeveniment cardíac. El treball l'acaba de publicar la revista American Journal of Preventive Cardiology, i es basa en dades de més de mil pacients en seguiment a l'Hospital del Mar. És un dels primers estudis epidemiològics centrats en aquesta lipoproteïna que s'han fet a l'Estat.

Part de l’equip responsable de l’estudi
L'estudi ha analitzat els nivells de lipoproteïna(a) en dos grups de persones. Per una banda, pacients en seguiment després d'haver patit un infart o un altre esdeveniment cardíac, la cohort RiskOpACS (sigles en anglès de Risk Optimization following an Acute Coronary Syndrome), i de l'altra, la cohort USE-IT, formada per persones a qui s'ha detectat arterioesclerosi als vasos cardíacs sense haver presentat cap símptoma previ. El Dr. Mateo Iwanowski, cardiòleg de l'Hospital del Mar i investigador del Grup de Recerca Biomèdica en Malalties del Cor del seu institut de recerca, apunta que els resultats indiquen que "tenim una prevalença elevada de lipoproteïna(a) en la població que ja ha patit un accident cardiovascular, com era esperable, però també que en la població que no n'ha patit però tenen colesterol a les artèries cardíaques, la prevalença és molt alta. La prevalença de lipoproteïna(a) en aquest grup de població és més semblant a la de les persones que han patit un infart que a la població general".
Segons els resultats, a les persones que han patit un esdeveniment cardiovascular, el fet de tenir una quantitat elevada d'aquesta lipoproteïna a la sang s'associa amb una probabilitat un 40% més gran de patir malaltia coronària multivas. Un fet que també es produeix a aquells pacients sense símptomes cardíacs però amb atrterioesclerosi, que presenten nivells elevats, similars a aquells que ja han patit un accident cardiovascular. A més, les persones que en presenten més a la seva sang, també tenen nivells més elevats de calci en aquests vasos sanguinis, un altre clar indicador de risc cardíac.

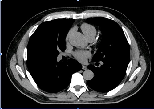
Tomografia de tòrax sense contrast on es detecta calcificació extensa a les artèries coronàries
Fer un seguiment personalitzat
Els nivells de lipoproteïna(a) són determinats per la genètica de cada persona i no estan vinculats a l'alimentació o hàbits de vida. A la vegada, es mantenen força estables durant la nostra vida. Davant aquestes dades, el Dr. Miguel Cainzos-Achirica, cap de Cardiologia Preventiva de l'Hospital del Mar i coordinador del Grup de Recerca Biomèdica en Malalties del Cor de l'Hospital del Mar Research Institute, destaca que "l'estudi reforça que a la nostra població els nivells de lipoproteïna(a) són elevats, no només en aquells pacients que han patit un infart, sinó en aquells asimptomàtics amb una càrrega alta de placa ateroescleròtica a les seves artèries".
Aquest fet porta els autors de l'estudi a recomanar estudiar la quantitat d'aquesta lipoproteïna a la sang de forma sistemàtica a la població, en especial a la de risc, com són les dones, que presenten concentracions més altes. Això es pot fer de forma senzilla, amb una anàlisi de sang. Així, "si es tenen nivells elevats, es pot establir una estratègia de prevenció de risc cardiovascular més intensa i personalitzada per aquests pacients", explica el Dr. Mateo Iwanowski.
En aquests moments no existeix cap tractament dirigit a controlar els nivells de lipoproteïna(a) en sang, i tampoc està comprovat que reduir-los sigui una estratègia efectiva per a tractar el risc cardiovascular. S'estan desenvolupant diversos assajos clínics per determinar-ho. Mentre no s'obtenen resultats, l'estratègia passa per un seguiment més intensiu i estret de tots els factors de risc, que sí que són tractables, a les persones a les quals es detectin valors més alts per reduir el risc total d'un accident cardiovascular.
Article de referència
Iwanowski M, Ruiz-Bustillo S, Vime-Jubany J, Zuccarino F, Cainzos-Achirica M, et al. Lipoprotein(a) epidemiology and role in secondary and primary-and-a-half cardiovascular prevention: From subclinical atherosclerosis to coronary events. American Journal of Preventive Cardiology. In press, corrected proof, available online 24 January 2026. doi:10.1016/j.ajpc.2026.101416.
Parc Salut Mar
Passeig Marítim 25-29 Barcelona 08003
Vegeu la situació a Google Maps
Tel: 93 248 30 00 · Fax: 93 248 32 54
Sol·licitud d'informació
© 2006 - 2026 Hospital del Mar · Avís Legal i Privacitat de dades | Política de Cookies | Accessibilitat