16 d'octubre de 2025 -
Una major exposició de les mares a partícules en suspensió a l'aire durant l'embaràs s'associa a nivells de mielinització menors en el cervell dels nadons.
Ho destaca el primer estudi que mesura amb ressonància magnètica la mielinització cerebral dels nadons, Publicat per la revista Environment International, és fruit de la col·laboració entre l'Hospital del Mar i l'ISGlobal.
Mostra que l'exposició prenatal a partícules fines (PM2.5) s'associa amb una maduració més lenta al primer mes de vida. La mielinització és un marcador clau de la maduració del cervell.
Un estudi publicat a la revista Environment International conclou que la contaminació atmosfèrica durant l'embaràs s'associa amb una maduració cerebral més lenta en els nadons. Es tracta del primer treball que ha analitzat en el primer mes de vida el seu desenvolupament cerebral i sorgeix de la col·laboració entre investigadors de l'Hospital del Mar, de l'Institut de Salut Global de Barcelona (ISGlobal), centre impulsat per la Fundació "la Caixa", i de l'àrea d'Epidemiologia i Salut Pública del CIBER (CIBERESP).

D’esquerra a dreta, Joan Deus, Laura Blanco-Hinojo, Gerard Martínez-Vilavella
La mielinització és un procés clau en la maduració del cervell, en què la mielina recobreix les connexions neuronals i les fa eficients per a la transmissió d'informació. Els nadons de mares exposades a nivells més alts de partícules fines en suspensió durant l'embaràs mostren una mielinització més lenta en aquesta etapa tan primerenca de la vida. Tant un alentiment com una acceleració excessiva de la maduració cerebral poden ser perjudicials per a l'infant. Ara bé, encara queda per determinar si l'efecte observat en aquest estudi tindrà conseqüències negatives en les capacitats dels infants.
La contaminació analitzada inclou partícules molt petites, unes trenta vegades més primes que un cabell humà, i que estan formades per elements nocius derivats del procés de combustió i compostos orgànics tòxics, però també per elements essencials per al desenvolupament cerebral, com el ferro, el coure o el zinc. Per això, encara cal investigar com afecta cadascun d'aquests components al desenvolupament del cervell dels nadons. En aquest sentit, segons explica Gerard Martínez-Vilavella, investigador de la Unitat de Ressonància Magnètica del Servei de Radiologia de l'Hospital del Mar, integrat a la xarxa dibi, i de l'Institut de Recerca de l'Hospital del Mar, "a l'estudi veiem que el procés de mielinització, un indicador de maduració cerebral que avança progressivament amb el temps, presenta un ritme més lent en els nadons més exposats a PM2.5 durant l'embaràs".
Per portar a terme l'estudi es van reclutar dones embarassades en seguiment a l'Hospital Clínic Barcelona, l'Hospital de Sant Pau i l'Hospital Sant Joan de Déu. Es van monitorar els nivells de contaminants atmosfèrics als quals estaven exposades durant la gestació i, després del part, es van seleccionar 132 nadons. A aquests se'ls va realitzar una ressonància magnètica abans de complir el primer mes de vida per observar el grau de maduració cerebral segons els seus nivells de mielinització.
Els resultats mostren una correlació clara entre una major exposició materna a PM2.5 durant l'embaràs i una menor mielinització en el cervell dels nadons. "La contaminació atmosfèrica, concretament les PM2.5, s'associa amb una alteració en el procés de mielinització, un mecanisme essencial de maduració cerebral. Per això cal continuar controlant la contaminació i estudiar com aquest alentiment pot influir en el desenvolupament posterior del cervell dels infants", expressa Martínez-Vilavella. El treball també indica que aquest efecte respon a la combinació dels diferents elements que formen les PM2.5, sense que se'n pugui identificar un d'únic com a responsable.
El Dr. Jesús Pujol, cap de la Unitat de Ressonància Magnètica del Servei de Radiologia de l'Hospital del Mar, afegeix que "en la primera etapa de la vida, els canvis en el cervell són grans i complexos. Tant l'alentiment excessiu com l'acceleració de la maduració cerebral poden ser perjudicials per a l'infant. Però queda per determinar si l'efecte observat és necessàriament nociu. Aquest estudi obre un camp de recerca de gran interès per establir quina és la velocitat òptima de maduració cerebral durant l'embaràs i fins a quin punt la mare i la placenta actuen com a filtres efectius per protegir i optimitzar aquest procés".

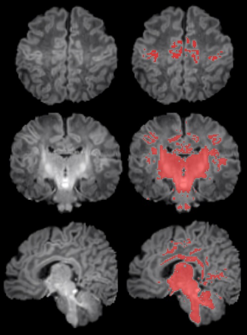
Il·lustració de les regions mielinitzades (en vermell) en el cervell del nadons
Per la seva banda, l'investigador d'ISGlobal Jordi Sunyer, sosté que "les troballes en aquests nadons nascuts a Barcelona després de la primera fase de la zona de baixes emissions ens alerten que no podem defallir en els plans de descontaminar les ciutats. Cal fer més passes endavant per assolir els nous criteris de qualitat de l'aire".
Pujol J, Martínez-Vilavella G, Gómez-Herrera L, Rivas I, Gómez-Roig MD, Llurba E, Blanco-Hinojo L, Cirach M, Persavento C, Querol X, Gascón M, Foraster M, Gispert JD, Falcón C, Deus J, Dadvand P, Sunyer J. Unraveling the impact of prenatal air pollution for neonatal brain maturation. Environ Int. 2025 Sep 18;204:109801. doi: 10.1016/j.envint.2025.109801. Epub ahead of print. PMID: 40986980.
Parc Salut Mar
Passeig Marítim 25-29 Barcelona 08003
Vegeu la situació a Google Maps
Tel: 93 248 30 00 · Fax: 93 248 32 54
Sol·licitud d'informació
© 2006 - 2026 Hospital del Mar · Avís Legal i Privacitat de dades | Política de Cookies | Accessibilitat